Juice
Fresh + Informative Health News

Too young for a stroke?

Young man’s migraine leads to shocking diagnosis.

Article Author: Juliette Allen

Article Date:

photo for Too young for a stroke? article
Will Crockett was having a typical Saturday morning when he suddenly developed a severe headache.

When Will Crockett awoke one Saturday morning in July 2025, he got started on his typical weekend routine: do the dishes, make coffee and go back into bed to relax. But the mundane nature of this late-summer morning quickly changed.

“When I laid back down in bed, it felt like a water balloon popped in my head,” Crockett remembered.

Although he didn’t know it yet, the 25-year-old was having a stroke.

“I didn’t get checked out until Tuesday because I didn’t think it was that serious,” he said. “It never occurred to me that I could be having a stroke.”

‘Hey, Mom, I got my first migraine!’

Following the balloon-popping sensation, Crockett began to experience a severe headache.

“My mom has always had migraines, but I’d never had one before,” he said. “I called her and joked, ‘Hey, Mom, I got my first migraine today!’”

The head pain came and went, and Crockett was able to proceed with his weekend, even at one point mowing the lawn. He had three retinal/ocular migraines, which can cause temporary blurred or lost vision in one eye, but each time his vision returned.

On Monday morning, Crockett, a marketing strategist for Baptist Health, mentioned his migraine to one of his colleagues who is on the Baptist Stroke and Cerebrovascular Center team.

“My colleague said any time there’s a sudden onset of a migraine, let alone one accompanied by vision loss on one side, it should be checked out,” Crockett said.

By Tuesday, he had an appointment with Nima Amin Aghaebrahim, MD, a neurointerventionalist with Baptist Lyerly Neurosurgery and system medical director for stroke for Baptist Health, who ordered an MRI at Baptist Medical Center South for the following day.

“After the scan, the tech came in and said, ‘The radiologist found something on your images, so we’re going to admit you to the hospital,’” Crockett recalled.

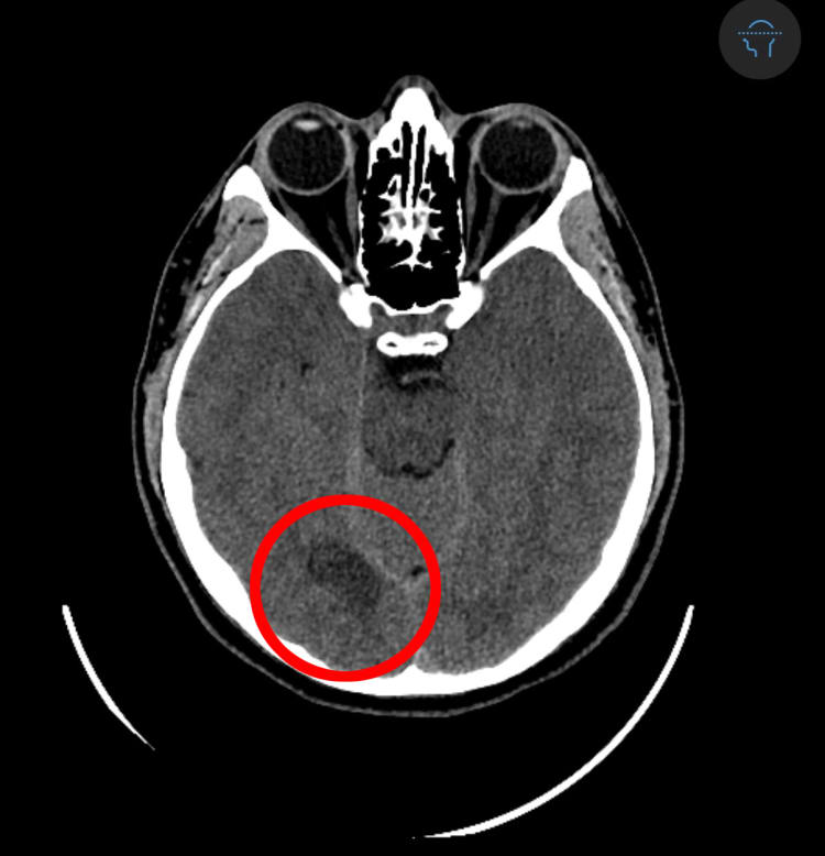
Imaging revealed a stroke in Crockett's occipital lobe.

Shocking stroke

The imaging revealed Crockett had suffered an ischemic stroke, which happens when a blood clot blocks blood flow to the brain. It occurred in his occipital lobe – the vision center in the brain – which is why he had multiple retinal migraines.

“Although ischemic strokes are more common than hemorrhagic strokes, which are caused by burst or weakened blood vessels, it’s unusual for someone as young as Will to have a stroke because he didn’t have any significant risk factors and is otherwise healthy,” Dr. Nima said. “In general, common risk factors for stroke include high blood pressure, high cholesterol, history of smoking and obesity, but Will didn’t have any of these.”

Following the MRI, the Stroke Neurology team performed a CT angiogram – an imaging test that shows blood vessels and flow – of the head and neck to make sure there were no significant blockages or other diseases that would raise his risk of another stroke.

Crockett spent two nights at Baptist South in the care of Steven Toenjes, MD, a neurologist with Baptist Neurology Group, where he was monitored as he recovered.

“I’m feeling almost back to normal now,” Crockett said of his recovery three months later. “I’m still a little sensitive to light and sound, but for the most part, I’m able to live life the way I did before the stroke. It’s still shocking to think I had a stroke at 25.”

‘Don’t hesitate’

Crockett has undergone extensive imaging and blood testing to try to determine the cause of the stroke, but so far, he doesn’t have any definitive answers. As a precaution to help prevent future incidents, he’s been prescribed baby aspirin to thin his blood and prevent clots, and cholesterol medication (because high cholesterol is a risk factor) to take daily.

“I never imagined that I was having a stroke, but I’m so glad I mentioned it to my colleague who encouraged me to get it checked out,” he said. “That’s my message to young adults: If something doesn’t feel right with your balance, vision, face or voice, or you’re in pain, don’t hesitate to contact your doctor, go to the Emergency Room or call 911.”

Dr. Nima added, “Stroke is common and it can happen to anyone at any age. It’s important to never ignore possible signs of stroke, because every minute it’s left untreated could mean additional damage to the brain. At Baptist Health, we have a comprehensive program where patients can not only be treated in the Emergency Room, but also receive follow-up care to prevent future strokes.”


A stroke is a life-threatening emergency. If you or someone else is having symptoms of a stroke, call 911 immediately. To learn more about the Baptist Health Stroke and Cerebrovascular Center, click here. Additionally, Baptist Health has a monthly in-person support group for survivors of strokes and their loved ones. Click here to learn more.

Get fresh-picked headlines delivered to your inbox.

utm
Pre-populate Salesforce Fields

It looks like there was a problem

Try going back and resubmitting the form.

Thank you, you're subscribed!

Stories by Topic

Related stories